양산수면치과, 다수의 치아 상실을 임플란트로 불편함 해결한 사례

치주 질환은
우리나라 성인의 절반 이상이 겪고 있는
흔한 구강 질환으로
초기에는 증상이 미미하여
가볍게 생각하고 방치하다가
병이 깊어지고 증상이 심해지고 나면
치과를 찾는 경우가 많은데요.

치주 질환이란
치아 주위 조직인 잇몸과
치아를 지지하는
치조골과 치주 인대 등에 생기는
염증성 질환으로
크게 치은염과 치주염으로
나눌 수 있습니다.
치은염은
잇몸에만 국한되어 생긴 염증으로
이 단계에서 적절한 스케일링 받고,
올바른 칫솔질을 해준다면
회복이 가능하지만
치은염 상태에서 방치하게 된다면
치주염으로 진행이 되어
치아를 지지하는 치조골이 파괴되면서
잇몸이 내려앉게 되고,
치아와 잇몸 사이에
치주낭이라는 틈이 깊어져
심한 경우 치아가 흔들리고
빠질 수 있습니다.
치주 질환의 주된 원인은
플라그라 부르는 치태와 치석으로
음식물 찌꺼기와
세균이 엉겨 붙어 만들어진 치태가
제대로 제거되지 않고
구강 내에 쌓이게 되고
이 상태로 시간이 지나게 되면
칫솔질로 제거가 되지 않는
단단한 치석으로 변하여
치과에서 전문적인 치료가 필요하게 되는데요.
치주 질환의 주된 증상
✅️ 잇몸이 붉게 변하고 붓는다.
✅️ 칫솔질을 하거나 음식물 섭취 시 피가 난다.
✅️ 치아가 흔들리거나 시린 증상이 있다.
✅️ 치아가 길어 보이는 느낌이 든다.
✅️ 양치를 꼼꼼하게 해도 입 냄새가 심해진다.
위와 같은 증상 중
하나라도 해당된다면
치주 질환을 의심해 보시고
양산수면치과 에이디중부치과에
내원하시어
적절한 치료를 받는 것이 좋습니다.
오늘은 다수의 치아 상실로 인해
치료를 진행하시고자
양산수면치과에
내원해 주신 환자분의 사례를
소개해 드리겠습니다.
오늘 소개해 드릴
환자분께서는
30대 여성분으로
상실된 치아도 많고
흔들리는 치아도 많으시다며
전체적인 치료를 위해
내원해 주셨는데요.
치료기간: 24.07.24 ~ 25.11.20
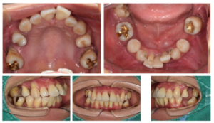
먼저 구강 내를
확인해 보았더니
다수 치아의 상실로 인해
치아의 배열이 흐트러져 있고,
잔존 치아들도
동요도가 심한 상태였는데요.

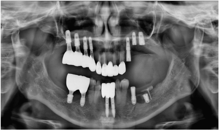
정밀한 검사를 위해
파노라마 사진을
촬영해 보았더니
만성 치주염으로 인해
다수 치아 상실과
심각한 골소실이 보였으며
이로 인해 양측 어금니 부위의
교합 및 수직 고경이 소실된 상태였습니다.

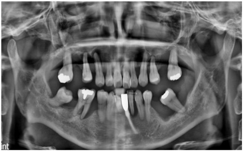
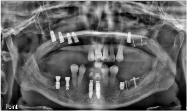
환자분께서는 2년 반쯤에
내원해 주셨던 적이 있으셨는데요.
위 사진은
그 당시 파노라마 사진으로
그때도 만성 치주염 진단을 받으셨지만
지속적인 치료와
관리가 잘되지 않아
현재 더 심해진 상태입니다.
환자분과 정밀한 상담을 통해
예후가 좋지 않은 치아들은
모두 발치 후
임플란트를 통해
치아의 기능을 회복시켜
드리기로 하였습니다.
양측 어금니 부위의 치아와
아래턱 앞니(#42,31) 2개는
발치 후 임플란트 식립을
진행하기로 하였으며,
아래턱 오른쪽 첫 번째 앞니(#42i)인
타 치과에서 식립해 둔 임플란트 역시
제거 후 뼈이식을 동반하여
제 식립을 도와드리기로 하였습니다.
이 외에도 위턱 오른쪽 앞니(#12,11)와
왼쪽 앞니(#21,22,23)는
아래턱 치아들과의
수직적인 높이를 맞추기 위해
보철물 수복을 진행하기로 하였으며,
필요시 신경치료를 동반하기로
치료 계획을 수립하였습니다.
양산수면치과 에이디중부치과에서는
발치를 진행하기 전
파노라마 사진과 3D CT 촬영을 통해
잔존 치조골의 양과 두께,
아래턱 하방으로 지나가는
큰 신경관인 하치조 신경관의 위치,
위턱 어금니 부위의
상악동과의 거리,
눈에 보이지 않는 해부학적 구조물 등을
면밀하게 확인하는 과정을 통해
임플란트를 식립하기 좋은 위치를 선정하고
식립 될 Fixture의 굵기와 길이,
식립 방향 등을
시뮬레이션을 통해
미리 파악하였습니다.
먼저 예후가 좋지 않은 치아들과
타 치과에서 식립 해 둔
아래턱 앞니 임플란트를
모두 제거하였으며,
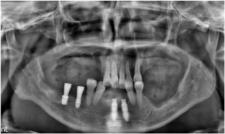
아래턱 오른쪽 어금니 부위와
앞니에 먼저 임플란트 식립을
도와드렸는데요.

정확한 위치에
안정적으로 임플란트가 식립 된 것을
확인할 수 있었으며

치료가 마무리되기 전까지
일생 생활에서 겪을
여러 가지 불편감들을 덜어드리기 위해
임시 틀니를 제작하여
사용하실 수 있도록 도와드렸습니다.

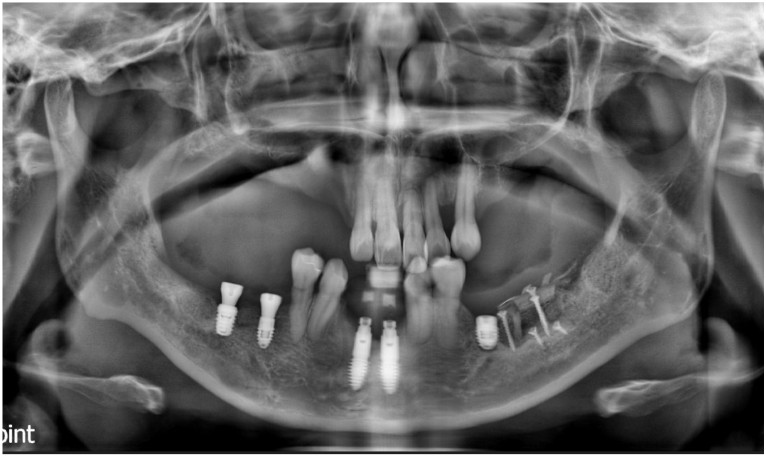
한 달 반 뒤
아래턱 오른쪽 작은 어금니 부위에
임플란트 식립을 도와드렸으며,
큰 어금니 부위에는
잔존 잇몸뼈의 소실이 심한 상태라
바로 임플란트 식립을 진행하지 못하고
뼈이식을 도와드렸는데요.
구강 내의 Ascending ramus에서
환자 본인의 덩어리 뼈를 채취하여
해당 부위에 이식하는 과정을 진행하였으며
이식한 뼈가 단단하게 자리 잡게 하기 위해
Pin을 꼽아 고정해 두었습니다.
20일 뒤
위턱 오른쪽 임플란트 식립을 위한
준비를 하였는데요.
위턱 어금니 부위의 경우
상악동 막이 내려와 있어
임플란트를 식립하기에는
잔존 치조골과의 수직적인 거리가 부족하여
상악동 거상술을 동반한 뼈이식 후
임플란트 식립이 필요한 상황이었습니다.
상악동이란
코 양옆의 위턱뼈에 있는 텅 빈 공간으로
임플란트 식립 시
상악동 안에 있는 얇은 막이 내려와
임플란트를 식립하기에
충분한 뼈가 없는 경우
상악동 막을 들어 올려 공간을 확보한 뒤
잇몸뼈를 채워 넣어
임플란트 식립을 진행하는
상악동 거상술이 선행되어야 합니다.
상악동 거상술 방법에는
두 가지가 있는데요.
.jpg?type=w966)
첫 번째는 치조정 접근법으로
잔존 뼈의 두께가 3mm 이상
남아 있는 경우 사용하는 방식으로
임플란트를 식립할 부위에 구멍을 뚫어
상악동 막을 들어 올리며
뼈이식을 진행하는 방법입니다.
두 번째는 측방 접근법으로
잔존 뼈의 두께가 1~2mm로
3mm 이하로 남은 경우 사용하는 방법으로
식립하고자 하는 치아의
볼 쪽 방향의 뼈에 구멍을 내어
상악동 막을 들어 올리며
뼈이식을 진행하는 방법입니다

환자분께서는 잔존 잇몸뼈에서
상악동까지의 수직적 거리가
3mm 이하로 남아 있어
측방 접근법을 이용한
상악동 거상술로 골이식을 안전하게 진행한 후
임플란트 식립까지 도와드렸습니다.
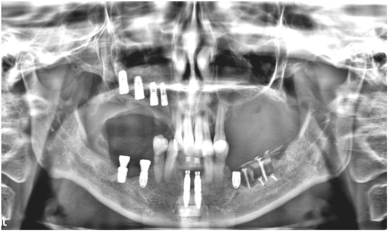
한 달 뒤쯤
위턱 왼쪽 임플란트 식립을 위한
준비를 하였는데요.

위턱 오른쪽과 마찬가지로
상악동 거상술이 필요한 상황으로
상악동 거상술을 통해
충분한 뼈이식을 진행하였으며,
안정적인 식립이 가능한
첫 번째 작은 어금니(#24) 위치의
임플란트 식립만 도와드렸으며
큰 어금니 부위에는
이식해 둔 뼈가 자리 잡았을 때
식립을 도와드리기로 하였습니다.

Fixture와 잇몸뼈가 단단히 결합되고,
이식한 뼈가 자리 잡기를 기다리는 동안
위턱 앞니의 보철치료와
신경치료를 도와드렸습니다.
그 후 정기적인 체크를 통해
오른쪽 위아래 임플란트는
식립해 둔 Fixture와
잇몸뼈가 단단히 결합이 된 것을 확인하고
최종 보철물 제작을 위한
본뜨기를 진행하였는데요.

최종 보철물은
자연치아와 강도가 유사하고
심미적인 지르코니아로
마무리해 드렸습니다.

왼쪽 위아래 어금니 부위에는
잔존 치조골의 양이 너무 없어
뼈이식을 많이 해둔 상태로
이식한 뼈가 단단히 자리 잡을 때까지
충분히 기다린 뒤
안정적인 상태가 되었을 때
임플란트 식립을 도와드렸습니다.

왼쪽 위아래 임플란트 식립 후
4개월 체크에서
Fixture와 잇몸뼈가
단단히 결합되고
잘 아물고 있는 것을 확인한 뒤
최종 보철물 제작을 위한
인상채득을 진행하였으며,
마찬가지로 지르코니아로
마무리해 드렸습니다.

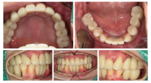
모든 치료가 마무리된
구강 내 사진인데요.
환자분께서는 다수 치아의 상실과
흔들림으로 인해
평소 저작이 잘되지 않아
소화도 안되는 등
불편감이 많으셨는데
치료 후에는 양측 저작이 편안하게 잘 되고,
심미성도 높아져서 만족해하셨습니다.
전 > 후

이렇게 발치 후
임플란트 식립을 통해
무너진 교합과 수직 고경을 회복해 드린 사례를
소개해 드렸는데요.
임플란트는 자연치아를 상실하였을 때
대체할 수 있는
가장 좋은 치료 방법 중 하나로
사후관리만 잘 이루어진다면
반영구적으로 사용할 수 있기 때문에
장기적으로 봤을 때는
경제적인 치료이지만
구강 위생 관리를 소홀히 하게 된다면
임플란트 주위염이 발생하여
주변 잇몸뼈가 흡수되고 소실되어
심한 경우에는
식립해둔 임플란트가 탈락하는 일이
생길 수도 있습니다.

그렇기 때문에
평소 꼼꼼한 양치와
치실 및 치간칫솔을 사용하여
임플란트 주변을
깨끗하게 관리해 주어야 하며,
불편함이 없더라도 정기적인 치과 검진과
스케일링을 통해
구강을 더욱더 청결하게
관리해 주는 것이 좋습니다.
다수의 치아 상실로 인해
불편감을 겪고 계신다면
더 이상 방치하지 마시고
정확하고 정직하게 진단하는
에이디중부치과에 내원하시어
건강한 구강환경 회복을 통해
만족스러운 치료 결과를 얻어 가실 수 있도록
최선을 다해 진료하겠습니다.
감사합니다.
*모든 증례 사진은 의료법 제23조, 제 56조에 의거하여, 당사자의 동의하에 게시하였습니다.
*치료 사진은 모두 본원에서 치료한 환자분의 사진입니다.
*치료 사진은 모두 동일인의 사진이며, 동일 조건에서 촬영하였습니다.
*개인의 차이에 따라 시술 및 수술 후 부작용이 발생할 수 있으며, 의료진과 충분한 상담을 받으시기 바랍니다.