양산수면치과, 만성치주염으로 치아 발치 후 전체임플란트로 회복

혹시 칫솔질을 할 때
잇몸에서 피가 나거나,
치아가 시큰거리고 흔들리고,
양치를 해도 입 냄새가 심해지는 느낌을
받아보신 적 있으신가요?
많은 분들이 이러한 증상을
단순히 피로나
일시적인 현상이라 생각하기도 하지만
치주 질환을 의심해 볼 수도 있는데요.

치주 질환은 구강 내에 있던 세균이
치태와 칼슘 성분과 합쳐지고 증식하여
치석이 되어
잇몸과 주변 조직을 약하게 하고
염증을 일으키는 것으로
이 외에도 부정교합, 이 악무는 습관,
부주의한 보철물 관리,
흡연, 음주 등에 의해 나타날 수 있으며
진행 정도에 따라
치은염과 치주염으로 구분하며
염증이 잇몸 표면에만
국한되어 있는 경우를 치은염,
염증이 심하여 치주 인대와 치조골로
깊이 침투한 상태를 치주염이라고 합니다.
치주 질환의 초기 단계인 치은염 상태에서는
증상이 거의 없고 통증이 심하지 않다 보니
적절한 시기에 치료를 진행하지 않고
방치하게 된다면
치주낭이 형성되고,
치아를 지탱하는 잇몸뼈가 손상되어
이로 인해 치아가 흔들리거나
빠지게 될 수도 있는데요.
오늘은 치주염으로 인해
다수 치아 상실로 치료를 진행하시고자
양산수면치과에 내원해 주신 환자분의 사례를
소개해 드리겠습니다.
오늘 소개해 드릴
환자분께서는
60대 여성분으로
치아의 흔들림이 심해져 치료를 위해
내원해 주셨는데요.
치료 기간 : 22.4.5 ~ 22.11.14

환자분께서는 19년도에
처음 본원에 내원하셨었는데
그 당시 양측 어금니가 거의 상실되어 있어
앞니와 작은 어금니 위주로
교합이 이루어지고 있는 상태였는데요.
그렇다 보니 무리한 교합력과
관리 부족으로
아래턱 오른쪽 송곳니(#43)가
만성 치주염으로
주변 잇몸뼈가 많이 약해져 있었습니다.
또한 왼쪽 송곳니(#33)와
두 번째 작은 어금니(#35)와 함께
long bridge 형태로
길게 묶어져 있는 상태로
해당 치아 역시 치아와 잇몸뼈를
단단히 잡고 있어야 할
치주 인대의 공간이
넓어져 있는 상태였는데요.
이 경우 예후가 좋지 않은
아래턱 오른쪽 송곳니(#43)는 발치하고
잔존 치아들은 잇몸 치료를 통해
염증이 더 진행되지 않도록
해주는 것이 중요하지만
환자분께서는 당시 치료를 진행하시지 않고
그대로 방치하셨으며,
증상이 더 심해지시자
3년이 지난 22년 4월 5일에
치료를 위해 다시 본원을 찾아주셨는데요.



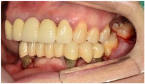
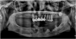
먼저 구강 내를
확인해 보았더니
잇몸뼈 소실이 심해져
치아 뿌리가 노출되어 있는 상태로
Bridge로 연결된 치아 외에도
아래턱 왼쪽 큰 어금니도
동요도가 심한 상태였습니다.

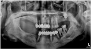
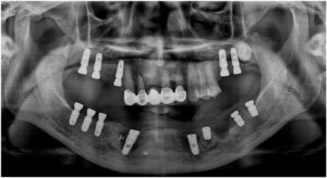
정밀한 검사를 위해
파노라마 사진을 촬영해 보았더니
아래턱 치아들이
심각한 골흡수를 보이고 있는
만성 치주염 상태로
전체 발치가 불가피한 상황이었습니다.
환자분과 정밀한 상담을 통해
불필요한 치아는 모두 발치한 뒤
위턱 양측 어금니와 아래턱에
임플란트 식립을 통해
치아의 기능을 회복시켜 드리기로
치료 계획을 수립하였습니다.

먼저 예후가 좋지 않은
아래턱 치아들은
모두 발치 후
염증 조직을 깨끗하게 제거하고
소독하는 과정을 거쳤으며,
해당 부위의 잇몸이 어느 정도 아물고
치조골 치유 양상 경과를 관찰 후
임플란트 식립을 진행하기로 하였습니다.
이 외에 상실된 부위였던
위턱 양측 어금니 부위와
아래턱 오른쪽 어금니 부위에는
임플란트 식립을 위한
준비를 진행하였는데요.
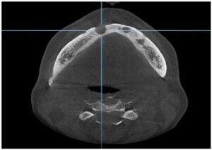
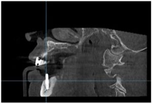
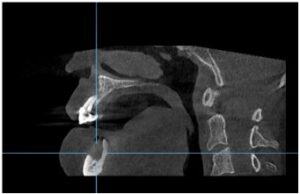
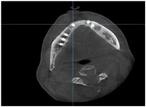
양산수면치과 에이디중부치과에서는
임플란트 식립을 진행하기 전
파노라마 사진과 3D CT 사진 촬영을 통해
위턱의 경우 상악동과의 거리,
아래턱 하방으로 지나가는
하치조 신경관의 위치,
잔존 치조골의 양과 두께,
눈에 보이지 않는 해부학적 구조물 등을
면밀하게 확인하는 과정을 거쳤으며,
이러한 결과를 토대로
임플란트를 식립하기 좋은 위치를 선정하고
식립 될 Fixture의 굵기와 길이,
식립 방향 등을
컴퓨터 분석과 시뮬레이션을 통해
미리 파악하는 과정을 거쳤는데요.

이러한 과정 덕분에
구강 내에서 더욱 빠르고 안전하게
식립을 도와드렸으며
파노라마 촬영을 통해
임플란트가 정확한 위치와 방향으로
식립 된 것을 확인하였습니다.

아래턱 잔존 치아 발치 후
한 달 반 정도 지났을 때
충분한 뼈이식을 동반한
임플란트 식립을 진행하였는데요.

상실된 치아의 개수에 맞게
식립을 하면 가장 좋겠지만
처음 내원 당시 잇몸뼈 상태가
많이 좋지 않았었기 때문에
안정적으로 식립이 가능한 위치를 선정하여
식립을 도와드렸으며,
고정형 스크류를 통해
이식한 뼈가 단단히 자리 잡을 수 있도록
고정해 주었습니다.

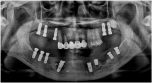
식립 후 2달이 지났을 때
아래턱 앞니와
왼쪽 어금니 부위에
심어둔 임플란트 주변으로
잇몸뼈가 잘 회복하고 있는 것을
확인하였으며
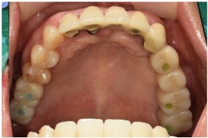
먼저 위턱 어금니와
아래턱 오른쪽 어금니의
지대주 제작을 위한
coping 인상채득을 진행하였는데요.

Fixture와 보철물을 연결해 주는 지대주를
개인의 구강 상황에 맞는
맞춤형 지대주를 이용하였으며
기공소에서 만들어온 임시 치아를 통해
최종 보철물을 제작하기 전
무너진 교합과 수직 고경을 회복시키고,
구강 근육 및 점막 안정화를 위한
시간을 가지기로 하였습니다.

아래턱 앞니와
왼쪽 어금니 부위에 심어 둔
임플란트 주변의 잇몸뼈가 단단해지고
회복이 잘 되고 있는 것을 확인한 뒤
Fixture 뚜껑을
잇몸 위로 올라오는 healing abutment로
교체하는 2차 op를 진행하였으며

안정적인 뼈이식을 위해 심어둔 스크류를
제거하였습니다.
2차 op 후
잇몸이 회복되고
어금니의 교합이 안정적으로 되었을 때
임시 치아의 높이와 크기에 맞추어
최종 보철물 제작을 위한
인상 채득을 진행하였습니다.

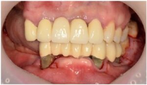
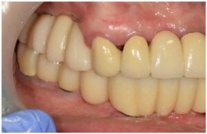
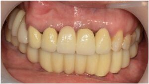
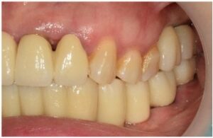
최종 보철물은
자연치아와 강도가 유사하고
심미적인 지르코니아 보철물로
마무리해 드렸습니다.

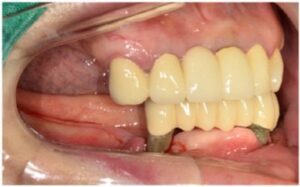
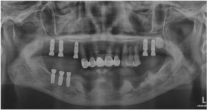
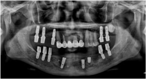
모든 치료가 마무리된
파노라마 사진과
구강 내 사진인데요.
환자분께서는
치료 후 양측 저작이 편안해지고
심미적으로 변한 모습에
만족해하셨습니다.
전 > 후

이렇게 만성 치주염으로 인한
발치 후
광범위한 골이식을 동반하여
임플란트 식립을 통해
무너진 교합과 수직 교경을 회복해 드린
사례를 소개해 드렸는데요.
양산수면치과 에이디중부치과에서는
자연치아의 소중함을 누구보다 잘 알지만
심한 만성 치주염을 앓고 있는 경우
잠깐의 통증이 줄었다고 해서
문제가 해결되는 것은 아니기 때문에
더 큰 병으로 번지는 것을 막기 위해
발치를 권하기도 하는데요.

위 사례의 환자분과 같이
치아 뿌리 끝이나 잇몸에 생긴 염증을
치료하지 않고 방치하게 된다면
주변의 치아 뼈까지 번지게 되어
더 많은 치아가 위험해질 수 있으며
심한 경우 턱뼈에까지
염증이 생길 수 있습니다.
또 한 치아 뿌리의 세균이
혈액을 통해 퍼지면
심장, 당뇨 조절 악화, 신장 질환 악화 등
전신질환의 위험이 올라갈 수 있으며,
한번 손상된 잇몸뼈는
다시 자라지 않고
계속적으로 소실되며
추후 치료 시 그만큼의 골이식이나
잇몸 재건 등 치료의 범위가 넓어져
치료 기간이 길어지고
비용 역시 더 커질 수 있는데요.
양산수면치과에서는
만성 치주염으로 인한 발치는
염증과 위험성을 정리하고
앞으로의 보철이나 임플란트 치료를
안정적으로 진행하기 위한 첫 단계로
새로운 회복의 시작이라고 생각하시면
환자분께서 조금 더 편안하게
받아들일 수 있지 않을까 싶은 마음입니다.
잇몸에서 피가 나거나
치아가 시큰거리는 등
평소와 다르게 구강 내 불편감이 생기셨다면
이러한 증상들을 가볍게 여기지 마시고
빠른 시일 내에
자연치아 보존에 힘쓰는
양산수면치과 에이디중부치과에 내원하시어
적절한 치료를 받으시길 바랍니다.
항상 작은 불편에도 귀 기울이며
정성을 다해 소통하여
그에 맞는 적절한 치료 계획을 통해
불편감을 해소시켜드릴 수 있도록
노력하겠습니다.
감사합니다.
*모든 증례 사진은 의료법 제23조, 제 56조에 의거하여, 당사자의 동의하에 게시하였습니다.
*치료 사진은 모두 본원에서 치료한 환자분의 사진입니다.
*치료 사진은 모두 동일인의 사진이며, 동일 조건에서 촬영하였습니다.
*개인의 차이에 따라 시술 및 수술 후 부작용이 발생할 수 있으며, 의료진과 충분한 상담을 받으시기 바랍니다.