양산수면치과 치료받았던 치아에서 통증이 느껴진다면

양산수면치과

우리 치아는 충치, 노화, 외상, 사고 등

다양한 원인으로 손상될 수 있으며

한 번 손상된 치아 내부 조직은

자연적으로 회복되기 어렵기 때문에

초기 치료가 매우 중요한데요.

하지만 치료 시기를 놓쳐

우식이 깊게 진행된 경우에는

신경치료가 필요할 수 있습니다.

신경치료는

치아 내부에 있는 치수(치아 신경) 조직이

염증이나 감염으로 손상되었을 때

시행하는 치료로

치수강을 개방하여 감염된 신경과

염증 조직을 제거하고, 근관(신경관) 내부를

깨끗하게 소독한 뒤 특수 재료로 밀폐해

세균의 재 침투를 막는 과정으로 진행됩니다.

간혹 환자분들께서

신경치료가 ‘신경을 살리는 치료’인지

묻는 경우가 있으신데요.

실제로는 손상되고 감염된 신경을 제거해

더 큰 염증 확산을 막는 치료로

만약 이를 방치할 경우

염증이 치아 뿌리 주변 조직까지 번져

심한 통증을 유발할 수 있으며

더 나아가 발치로 이어질 수 있기에

신경치료는 자연치아를 보존하기 위한

마지막 단계의 치료라고 볼 수 있습니다.

하지만 안타깝게도

모든 신경치료가

한 번에 성공하는 것은 아닌데요.

치료 후에도 신경관 내부의 미세한 오염,

과도한 교합력(교합 외상),

치아 파절, 치주 질환 등

다양한 원인으로 인해

다시 염증이 발생할 수 있으며

이 경우에는 ‘재 신경치료(Re-endo)’를 통해

기존 충전물을 제거하고 근관을 다시 정밀하게

소독·충전함으로써 자연치아를

한 번 더 살려볼 수 있습니다.

오늘은 위턱 앞니의 통증으로 인해

에이디중부치과를 내원해 주신

환자분의 사례를 소개해 드리겠습니다.

환자분께서는

과거 치료를 받았던 부위에서

주말부터 가만히 있어도 아프고

씹을 때도 아프시다며

검사와 치료를 위해

본원을 찾아주셨는데요.

불편감을 호소하셨던

위턱 오른쪽 두 번째 앞니(#12)를

건드려보았더니 통증을 호소하셨으며,

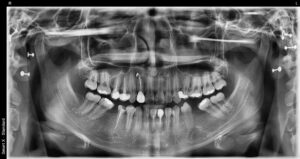
정밀한 검사를 위해

파노라마 사진을 촬영해 보았더니

해당 치아는 신경치료가 되어 있는 치아로

뿌리 끝에 염증이 있는 것을

확인할 수 있었는데요.

재 신경치료가 가능한지를

파악하기 위해 양산수면치과

에이디중부치과에서는 3D CT 촬영을 통해

정밀한 검사를 진행하였으며,

그 결과 해당 치아를 발치하지 않고

재 신경치료를 통해

한 번 더 살려 쓰는 방향으로

치료를 도와드리기로

치료 계획을 수립하였습니다.

내부의 치아에 손상이 가지 않도록

조심스럽게 기존 보철물을 제거한 뒤

신경관 내부에 있는 기존 충전재를

말끔하게 제거하고 소독하는 과정을

진행하였는데요.

몇 번의 재 신경치료를 통한

소독과정을 거친 뒤

염증이 줄어들고 통증이 사라지 것을 확인한 뒤

신경치료를 마무리해 드렸으며,

기존 보철물 제거 당시

2차 충치로 인해

치아 내부의 손상이 심한 상태로

충치 부위를 제거하였더니

잔존 치질이 많이 남아 있지 않은 상태였는데요.

이대로 보철물을 수복하게 되면

내부의 치아가 너무 약해

장기적으로 봤을 때

파절의 위험이 있어

양산수면치과 에이디중부치과에서는

내부의 치아를 단단하게 해주기 위해

코아 레진으로 치아머리 부위를

쌓아 올렸습니다.

보철물 수복을 위한

치아 다듬기를 진행하였으며,

심미성이 중요한 앞니 부위이기 때문에

환자분과 같이 치아 색상을 고민하고

결정하였습니다.

최종 보철물은

자연치아와 강도가 유사하고

심미적인 지르코니아로

마무리해 드렸는데요.

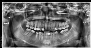
모든 치료가 마무리된

구강 내 사진과

파노라마 사진입니다.

환자분께서는 요 며칠 통증으로 인해

많이 힘드셨는데

치료 후 통증이 사라져 만족해하셨으며,

전보다 훨씬 더 심미적으로 변한 모습에

만족해하셨습니다.

 

전 > 후

 

이렇게 재 신경치료 후

크라운 수복을 도와드린 사례를

소개해 드렸는데요.

재 신경치료의 성공률은

첫 신경치료보다 약 30% 정도 낮지만

자연치아를 살릴 수 있는

최선의 방법이기 때문에

난도가 높으며 지속적으로 추적 관찰이

필요한 치료로 신경치료에 대한

이해도가 높은 전문의에게

치료를 받는 것이 좋은데요.

양산수면치과 에이디중부치과에서는

재 신경치료에 대한 높은 이해도를 토대로

다수의 임상경험과 숙련도를 겸비하신 대표원장님께서

통증의 정밀한 원인을 파악한 후

재 신경치료 여부를 결정하여

치료를 도와드리고 있으며

치료가 완전히 마무리되기 전까지

염증이 남아있는지

지속적으로 체크해 드리고 있기 때문에

언제든 믿고 내원하실 수 있습니다.

치료를 받은 치아에

불편감이 계속 지속된다면

신중한 진단과 경험 많은 의료진이 상주하는

양산수면치과 에이디중부치과에

내원하시어 자연치아를 보존할 수 있는 기회를

놓치지 않길 바랍니다.

감사합니다.


* 모든 증례 사진은 의료법 제23조,

제56조에 의거하여,

당사자의 동의하에 게시하였습니다.

* 치료 사진은 모두 본원에서 치료한

환자분의 사진입니다.

* 치료 사진은 모두 동일인의 사진이며,

동일 조건에서 촬영하였습니다.

* 개인의 차이에 따라

시술 및 수술 후 부작용이 발생할 수 있으며,

의료진과 충분한 상담을 받으시기 바랍니다.

 

네이버 예약 바로가기

 

양산수면치과, 어금니가 부러졌을 때 무조건 뽑아야 할까요?

 

문의 전화

055-785-2815

네이버 예약

네이버 예약