양산역사랑니발치 사랑니에 충치가 생겼다면
사랑니는 보통
10대 후반에서 20대 초반 사이에
구강 내에서 가장 마지막으로 올라오는 어금니로
제3대구치라고 부르며,
사람에 따라 아예 맹출 하지 않기도 하고,
위아래 좌우 1개에서 최대 4개까지
다양하게 맹출 하기도 하는데요.
만약 사랑니가 문제없이 바르게 자라고,
주변 관리가 잘 이루어진다면
일반 어금니처럼
저작 기능을 일부 도와주기도 하고,
특별한 통증이나 염증 없이
유지되는 경우도 있습니다.

반대로 관리가 잘되지 않거나,
사랑니가 비정상적인 방향으로 자란 경우에는
다양한 구강 내 문제가 발생할 수 있는데요.
가장 흔한 것이 잇몸 염증으로
사랑니 주변에 음식물이 끼고
세균이 번식하면서
잇몸이 붓고 통증이 생기는데,
심한 경우 입을 벌리기 어려워지거나,
얼굴이 붓는 증상까지 이어질 수 있습니다.
또한 사랑니가 옆으로 누워 자라게 되면
바로 앞쪽 어금니를 밀면서
충치를 유발할 수 있으며,
이때 문제는 사랑니뿐만 아니라
건강한 앞 치아까지 손상될 수 있어
더욱 주의가 필요합니다.

결국 사랑니는
무조건 빼야 하는 치아라기보다는,
현재 상태와 관리 여부에 따라
유지가 가능할 수도 있고
발치가 필요할 수도 있는 치아이기 때문에
정기적인 검진을 통해
사랑니 여부와 상태를 확인하는 것이 중요하며,
평소 구강 위생 관리에
더욱더 신경 써 주어야 합니다.
만약 이상 증상이 느껴진다면
미루지 말고
양산역사랑니치과 에이디중부치과에 내원하시어
의료진과의 정밀한 상담을 통해
발치 여부를 결정하는 것이 중요합니다.
오늘 소개해 드릴 환자분께서는
20대 여성분으로
아래턱 오른쪽 사랑니의 통증으로 인해
본원을 내원해 주셨는데요.
먼저 구강 내를 확인해 보았더니
사랑니 주변으로
충치가 심한 것을
확인할 수 있었습니다.

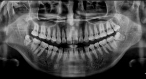
정밀한 검사를 위해
파노라마 사진을 촬영해 보았더니
아래턱 오른쪽 사랑니(#48) 외에도
왼쪽 위아래 사랑니(#28,38)도
맹출 되어 있는 상태로
구강 위생 관리가 잘되지 않고 있어
머지않아 아래턱 오른쪽 사랑니처럼
충치가 생길 가능성이 높은 상태였는데요.
충치가 생긴 사랑니를
그대로 방치하게 된다면
위에서도 말씀드렸듯이
건강하던 바로 앞쪽의 치아에까지
문제가 생길 수 있기 때문에
더 큰 문제로 이어지기 전에
문제가 되는 사랑니를
발치를 하는 것이 건강한 구강 환경 유지에
도움이 됩니다.
환자분과 정밀한 상담을 통해
사랑니를 모두 발치하기로
치료 계획을 수립하였습니다.
양산역사랑니치과 에이디중부치과에서는
발치 전 파노라마 사진과 3D CT 촬영을 통해
사랑니의 위치와 방향,
하치조 신경관의 위치 등
육안으로 판단이 어려운
해부학적 구조물까지 면밀하게
파악하는 과정을 거쳤는데요.
특히 발치 시
아래턱 하방으로 지나가는
하치조 신경을 건드리게 된다면
입술이나 턱 부위에 감각 저하나
저림 증상 등 부작용이 생길 수 있는데요.
이러한 신경 손상은 일시적인 경우도 있지만
드물게는 장기간 지속될 수 있어
사전에 정확한 위치를
파악하는 것이 매우 중요합니다.
따라서 양산역사랑니발치 에이디중부치과
대표 원장님께서
다양한 임상 경험을 바탕으로
정밀 진단을 기반으로 한 계획적 발치를 통해
불필요한 위험을 줄이고,
환자분들이 보다 안심하고
치료를 받을 수 있도록 도와드렸습니다.

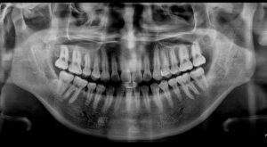
잔여 뿌리 없이
깔끔하게 발치가 마무리된
파노라마 사진입니다.
환자분께서는 사랑니 발치에 대해
걱정이 많으셨는데
생각보다 어렵지 않게 발치를 진행할 수 있어
만족해하셨습니다.
전 > 후

이렇게 사랑니 발치를 도와드린
사례를 소개해 드렸는데요.

사랑니 발치를 진행하고 나면,
사랑니가 있던 자리에는
비교적 큰 구멍이 생길 수 있는데요.
이는 치아를 제거하면서
자연스럽게 형성되는 공간으로,
정상적인 치유 과정의 일부로
발치 직후에는 해당 부위에 혈액이 차오르며
혈병이라고 하는 피떡이 형성되는데,
이 혈병은 상처를 보호하고
잇몸과 뼈가 회복되는 데
중요한 역할을 하며
시간이 지나면서 이 공간은
점차 잇몸 조직과 뼈로 채워지며
서서히 아물게 됩니다.
하지만 이 과정에서
혈병이 제대로 유지되지 않거나,
자극이 가해질 경우
드라이 소켓과 같은 통증을 동반한
합병증이 발생할 수 있기 때문에
발치 후에는 빨대 사용,
과도한 가글, 흡연 등은 피하는 것이 좋으며,
양산역사랑니발치 에이디중부치과에서
안내받은 주의 사항을 잘 지켜주시고
올바른 관리를 통해
빠르게 회복하시길 바랍니다.

양산역사랑니발치 에이디중부치과에서는
다양한 형태로 맹출 한 사랑니 발치에 대한
풍부한 임상경험을 바탕으로
숙련된 의료진이
환자 개개인의 구강 상태에 맞춘
맞춤형 치료를 진행하고 있으며,
난도 높은 발치 케이스까지도
정밀한 진단과 계획을 통해
보다 안전한 발치와 통증과
부작용을 최소화하는데
중점을 두고 진행을 도와드리고 있기 때문에
보다 편안하게 사랑니 발치 치료를
받아보실 수 있습니다.
사랑니가 잘 관리되지 않거나
통증으로 인해 발치를 고려하고 계신다면
더 이상 미루지 마시고
양산역사랑니발치 에이디중부치과에
내원하시어
정밀한 상담을 통해
현재 상태를 정확하게 확인해 보시고
적합한 치료 계획을 수립해 보시길 바랍니다.
감사합니다.
* 모든 증례 사진은 의료법 제23조,
제56조에 의거하여,
당사자의 동의하에 게시하였습니다.
* 치료 사진은 모두 본원에서 치료한
환자분의 사진입니다.
* 치료 사진은 모두 동일인의 사진이며,
동일 조건에서 촬영하였습니다.
* 개인의 차이에 따라
시술 및 수술 후 부작용이 발생할 수 있으며,
의료진과 충분한 상담을 받으시기 바랍니다.
양산수면치과, 어금니가 부러졌을 때 무조건 뽑아야 할까요?
