양산전체임플란트, 녹아내린 잇몸뼈로 흔들리는 치아 발치 후 다수 임플란트 식립

양산전체임플란트

치아에도 각각의 역할이 있다는 거

알고 계셨나요?

그중에서도 어금니는

음식을 잘게 부수어 소화시키는

저작기능에 90% 이상 관여하고 있지만

구강 내 안쪽에 위치해 있어

관리에 소홀해지는 경우가 많아

충치나 각종 치주 질환에

노출되기 쉬운데요.

이러한 이유로 인해

어금니가 손상되거나 상실되었을 경우

음식을 제대로 저작하기 어려워

소화가 힘들어지고

음식을 골고루 섭취할 수 없기 때문에

영양부족이 일어날 확률이 높아집니다.

이 외에도

턱관절 장애 유발 가능성이 높아지고

치매에 노출될 확률이 높아지는 등

구강 내 문제를 넘어

전신 건강에도 영향을 미칠 수 있는데요.

오늘은 다수 어금니 치아 상실로 인한

치료를 위해

양산전체임플란트 에이디중부치과에

내원해 주신 환자분의 사례를

소개해 드리겠습니다.

오늘 소개해 드릴

환자분께서는

50대 남성분으로

아래턱 양측 어금니는 상실되었고,

위턱 양측 어금니는 흔들리고 불편하시다며

전체적인 치료를 위해

내원해 주셨는데요.

치료 기간 : 22.05.02 ~ 22.12.14

 

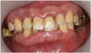
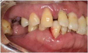
먼저 구강 내를

확인해 보았더니

만성 치주염으로 인해

잇몸이 부어있고

기구로 건드리기만 해도 피가 날 정도

잇몸 상태가 많이 좋지 않으셨는데요.


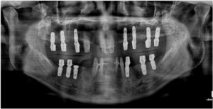
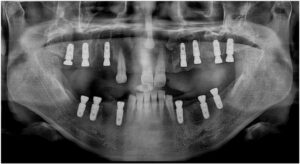
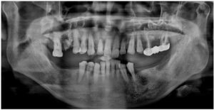
정밀한 검사를 위해

파노라마 사진을

촬영해 보았더니

치아를 단단하게 잡고 있어야 할 잇몸뼈가

녹아내려앉아있고,

염증이 있는 치아들도 다수 보였는데요.

환자분과 정밀한 상담을 통해

예후가 좋지 않은 치아들은

모두 발치하고

살릴 수 있는 치아들은 살려 쓰는 방향으로

치료 계획을 수립하였으며,

어금니 부위에는

임플란트 수복을 통해

치아의 기능을 회복하고

앞니는 남은 잔존 치아를 이용하여

브릿지 보철물로

수복을 진행하기로 하였습니다.

양산전체임플란트를 진행하기에 앞서

파노라마 사진과 3D CT 촬영을 통해

잔존 치조골의 양과 두께,

상악동과의 거리, 하치조 신경의 위치,

눈에 보이지 않는 해부학적 구조물 등을

면밀하게 파악하는 과정을 통해

임플란트를 식립하기 좋은 위치와

식립 될 Fixture의 길이와

두께를 선정하였으며,

디지털 장비를 활용하여

식립 방향과 각도를

미리 시뮬레이션을 통해 확인하였습니다.

다수의 임플란트 식립을 앞두고

환자분께서

많이 긴장하시고 두려워하셔서

에이디중부치과의 의식하진정법을 이용한

임플란트 식립을

도와드리기로 하였는데요.

의식하진정법은

전신마취가 아닌

가수면 상태에서 진행되며,

자극은 느껴도

치료 기억이 거의 남지 않아

치과치료가 두려우신 분들도

편안함을 유지하며

치료를 받으실 수 있는데요.

에이디중부치과에서 진행하는

의식하진정법은

미리 사전 검사로 안전여 부를 확인하고,

안전 약물인 레미마졸람으로

맞춤 진정 깊이를 조절하고 있습니다.

또한 수술 중

맥박이나 혈압, 산소포화도를

지속적으로 모니터링하고 있으며,

혹시나 발생할 수 있는

응급상황에 대비하여

응급장비와 해독제가

상시 준비되어 있습니다.

의식하진정법을 동반한 치료가 마무리되면

회복실에서 충분한 회복을 취하신 뒤

의료진 확인 후

보호자 동반하여 귀가하실 수 있도록

도와드리고 있기 때문에

안심하시고 진행하실 수 있습니다.

에이디중부치과에서는

임플란트 수술뿐만 아니라

모든 치료에서

편안하고 안전한 의식하진정법치료가

가능하기 때문에

필요하신 분은 언제든 편하게

말씀해 주시면 된답니다.


의식하진정법을 동반하여

발치 후 위아래 양측 어금니 부위에

정확한 방향으로

안정적인 식립을 도와드렸습니다.


식립 후 일주일 체크에서

아래턱 오른쪽 첫 번째 어금니(#44i)가

흡연으로 인한

골 유착 실패와 치조골 흡수로

잔존 치조골과 제대로 결합이 되지 않아

제거가 필요한 상황이었으며,

해당 부위 임플란트 Fixture 제거 후

충분한 시간이 지났을 때

체크 후 재 식립을

도와드리기로 하였으며

환자분께도 당분간 꼭 금연해 주시길

부탁드렸습니다.


식립해 둔 임플란트가

단단히 결합되기를 기다리는 동안

위아래 앞니 브릿지 보철물 수복을 위한

치아 다듬기를 진행하였으며,

발치 부위의 잇몸이 아물기 전까지

임시치아를 사용하실 수 있도록

도와드렸습니다.

 

앞니 임시치아에 맞춰

임시틀니를 제작하여

환자분의 무너진 교합 고경을 맞춰드리는

작업을 진행하였는데요.

교합고경이란

입을 다물었을 때

위아래 턱 사이의 높이를 의미하는 말로

정상적인 교합 고경은

입을 자연스럽게 다물었을 때

치아가 맞물리면서

높이가 자연스럽게

유지되는 상태가 되어야 하는데요.

환자분께서는 오랜 시간 동안

어금니 상실로 인해

교합 고경이 무너져 있었기 때문에

추후 임플란트 보철물 수복을 통한

안정적인 교합 회복을 도와드리기 전

임시틀니를 활용하여

전체적인 얼굴과 턱의 기능을 회복하기 위한

과정을 진행하였습니다.


흡연으로 인한 골 유착 실패로 제거 한

아래턱 오른쪽 첫 번째 작은 어금니(#44i) 자리는

제거 후 2달이 지났음에도

치조골 상태가 좋지 않아

바로 옆의 두 번째 작은 어금니(#45) 자리에

임플란트 식립을 도와드리기로

치료 계획을 변경하였습니다.


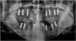
임플란트 식립을 진행하고

충분한 시간이 지났을 때

잇몸뼈와 임플란트가

단단히 결합된 것을 확인하고

최종 보철물 제작을 위한

과정을 진행하였는데요.

양측 어금니 보철물에 맞춰

위아래 앞니 브릿지 보철물도

같이 제작을 도와드렸으며,

최종 보철물은

자연치아와 강도가 유사하고

심미적인 지르코니아로

마무리해 드렸습니다.

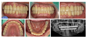
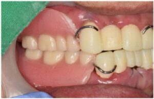
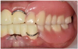
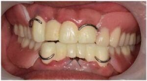
모든 치료가 마무리된

구강 내 사진과

파노라마 사진인데요.

환자분께서는

그동안 앞니로 식사하시면서

불편감이 많으셨는데

치료 후 양측 저작이 편안하게 잘 되고

전보다 심미적으로 변한 모습에

만족해하셨습니다.

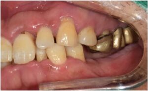
전 > 후

이렇게 발치 후 임플란트 식립 /

Bridge 보철물 수복을

도와드린 사례를 소개해 드렸는데요.

환자분께서는

치주 관리가 잘되지 않아

만성 치주염으로 인해

다수의 치아를 상실한 사례이기 때문에

임플란트 치료가 마무리된 후에는

더욱더 신경을 쓰며

관리해 주시기를 부탁드렸는데요.


임플란트 치료 마무리 후

제대로 관리하지 않으면

임플란트 주변에 염증이 생기는

임플란트 주위염이 발생할 수 있으며,

이로 인해 임플란트가 흔들리거나

심한 경우에는 제거하는 상황에까지

이를 수 있기 때문에

꾸준 한 구강 관리를 해주는 것이 중요한데요.


자연 치아처럼 꼼꼼한 양치질은 물론

치간 칫솔이나 치실 등

구강 위생용품을 활용하여

사이사이를 깨끗하게 해주는 것이 좋습니다.

또한 임플란트는 치아와 같이

신경과 치주 인대가 없기 때문에

염증이 발생해도

초기에는 증상을 자각하기 어려워

방치하는 경우가 많기 때문에

별다른 통증이나 이상이 없더라도

정기적인 치과 방문을 통해

검진을 받는 것이 좋습니다.

마지막으로 딱딱하거나

질긴 음식을 즐겨드시게 되면

보철물에 균열이 생기거나

인공 치근과 보철물을 연결하는

지대주의 나사가 풀릴 수 있는

원인이 될 수 있기 때문에

가급적이면 피해 주는 것이 좋습니다.

에이디중부치과에서 알려드린 사항들을

잘 지키시어

양산전체임플란트를 오랫동안 건강하게

사용할 수 있길 바랍니다.

양산전체임플란트 에이디중부치과에서는

임플란트 식립에 대한

숙련된 노하우를 겸비하신 대표원장님께서

정밀한 진단을 통해

개개인에게 적합한 치료 계획을 수립하여

기능적으로 편안하고

심미성으로 안정감 있는

임플란트 식립을 도와드리고 있기 때문에

믿고 내원하실 수 있습니다.

그동안 치과 치료에 대한 공포감으로 인해

불편감이 있어도

치료를 미루진 않으셨나요?

이젠 더 이상 방치하지 마시고

의식하진정법을 통해

편안하고 안전한 치료로

불편감을 해소시켜드리겠습니다.

항상 건강한 치아를 위해

정성을 다해 진료하겠습니다.

감사합니다.

*모든 증례 사진은 의료법 제23조, 제 56조에 의거하여, 당사자의 동의하에 게시하였습니다.
*치료 사진은 모두 본원에서 치료한 환자분의 사진입니다.
*치료 사진은 모두 동일인의 사진이며, 동일 조건에서 촬영하였습니다.
*개인의 차이에 따라 시술 및 수술 후 부작용이 발생할 수 있으며, 의료진과 충분한 상담을 받으시기 바랍니다.

네이버지도 바로가기

 

문의 전화

055-785-2815

네이버 예약

네이버 예약