양산전체임플란트 다수 치아 상실로 무너진 교합고경 회복을 위해
치주 질환은 풍치 또는 잇몸병이라고도 불리며
우리나라 성인 세 명 중 한 명 꼴로 발생할 정도로
흔한 질환 중 하나로 초기에는 잇몸이 살짝 붓거나
시린 정도로 증상이 경미하거나
통증이 거의 없다 보니
질환의 유무를 빠르게 파악하기 어렵고
방치하게 되는 경우가 많은데요.

치주 질환이 생기게 되는 주원인으로는
치태와 치석이 쌓이면서
치아와 잇몸 사이에 치주낭이 형성되어
잇몸 속까지 염증이 생기는 것으로
치아가 제대로 기능을 하기 위해서는
치아를 지지하고 받쳐주고 있는
잇몸과 치조골 등의
치주 조직들이 튼튼해야 하는데
치주 질환이 생기게 되면
이러한 조직들이 약해져
잇몸이 내려앉고 치아가 흔들릴 수 있으며
심한 경우에는 빠지게 될 수도 있습니다.
이 외에도 당뇨 합병증,
임신으로 인한 호르몬 변화,
흡연, 스트레스 등 다양한 원인 있으며
치주 질환이 의심되는 증상으로는
양치 시 잇몸에서
출혈이 자주 나는 경우
잇몸 색이 검붉게 변하거나
쉽게 붓는 경우
양치를 열심히 했음에도
입 냄새가 계속 날 경우
잇몸이 간질간질하거나
치아가 시린 느낌이 드는 경우
치아가 유독 길어 보이는 경우
이러한 증상이 있으시다면
치주 질환을 의심해 보고
에이디중부치과로 내원하시어
양산전체임플란트
적절한 치료를 받으시길 바랍니다.
오늘은 만성 치주염으로 인해
다수 치아 상실과
잔존 치아의 흔들림으로
치료를 진행하시고자
에이디중부치과에 내원해 주신
환자분의 양산전체임플란트
사례를 소개해 드리겠습니다.
오늘 소개해 드릴 환자분께서는
50대 여성분으로
전체적인 구강 내 불편감으로
치료를 위해 내원해 주셨는데요.

19년도에도
아래턱 치아의 통증과 불편감으로
두 차례나 본원에 내원하시어
잇몸치료를 받으셨지만
그 당시에도 만성 치주염으로 인해
치아를 단단히 잡고 있어야 할
치조골이 많이 약해져 있는 상태로
상태가 좋지 않았었는데요.
3년 뒤 재 내원하셨을 때는
심각한 본 흡수로 인해
아래턱 치아의 동요도가 하며,
치아가 거의 들떠있는 상태로
발치가 불가피한 상황이었습니다.
위턱의 잔존 치아들은
비교적 상태가 괜찮았지만
위턱 오른쪽 두 번째 앞니(#12)의 뿌리 끝에
염증 소견도 있었는데요.
환자분과 정밀한 상담을 통해
더 이상 치료를 미루는 것은
좋지 않을 것으로 판단되어
상태가 좋지 않은
아래턱 잔존 치아들은
모두 발치하기로 하였으며,
위아래 상실 부위 모두
임플란트 식립을 통해
치아의 기능을 회복시켜드리기로
치료 계획을 수립하였으며,
뿌리 끝에 염증 소견이 있었던
위턱 오른쪽 두 번째 앞니(#12)는
기존 보철물을 뚫어
신경치료를 통해
염증 치료를 도와드리기로 하였습니다.
치료에 들어가기 앞서
에이디중부치과에서는
양산전체임플란트 모든 치료가 마무리되기 전까지
일상생활에서의 불편감을 덜어드리기 위한
임시틀니를 제작을 위해
인상 체득을 진행하였습니다.
먼저 불필요한 아래턱 치아들을
모두 발치 후
주변 염증조직을 깨끗하게 제거하고
소독하였으며,
연조직이 치유될 때까지
충분히 기다린 뒤
식립을 도와드리기로 하였습니다.
발치 부위가 아물 때까지 기다리는 동안
상실된 부위 먼저
임플란트 식립을 도와드리기 위해
에이디중부치과에서는 양산전체임플란트 진행 시
파노라마 사진과 3D CT 촬영을 통해
아래턱 하방으로 지나가는
하치조 신경관의 위치,
위턱 잔존 치조골과 상악동 막과의 거리,
눈에 보이지 않는 해부학적 구조물 등을
면밀하게 파악한 뒤
임플란트 식립 하기 좋은 위치를 선정하였으며,
시뮬레이션을 통해
식립 될 Fixture의 두께와 길이를 선정하고
식립 될 방향까지 미리 파악하였습니다.
정밀한 사전 검사와 시뮬레이션 덕분에
구강 내에서 정확한 위치에
정확한 방향으로
안정적으로 임플란트 식립을 도와드렸습니다.
식립 된 임플란트와 잇몸에
자극이 가지 않도록
임시틀니를 사용하실 수 있게
조정해 드렸으며,
임플란트와 잇몸뼈가 단단히 결합되고
발치 부위 잇몸이 아물 때까지
충분히 기다리기로 하였습니다.

식립 후 한 달 반 정도 지났을 때
발치 부위의 잇몸이 어느 정도 아물고
치조골이 차오른 것을 확인한 뒤
안정적인 부위를 선정하여
임플란트 식립을 도와드렸으며,
잔존 치조골이 많이 소실된 부위였기 때문에
충분한 양의 인공뼈를 이식한 뒤
티타늄 멤브레인을 사용하였는데요.
티타늄 멤브레인은
이식한 뼈가 안정적으로 자라잡게 도와주어
임플란트의 성공률을 높이는데
중요한 역할을 하는 재료인데요.
티타늄은
치과에서 주로 쓰이는 금속재료로
인체에 이식을 하더라도
염증을 일으키기 않는 안전한 재료로
이식한 뼈를 좀 더 단단히 고정하고 싶을 때
티타늄으로 만들어진 멤브레인을 사용합니다.
식립 마무리 후 3D CT 촬영을 통해
식립이 잘 된 것을 확인하였으며,
안정적으로 자리 잡을 때까지
충분히 기다리기로 하였습니다.
그동안 위턱 오른쪽 두 번째 앞니(#12)의
뿌리 끝 염증 치료를 위한
신경치료를 도와드렸으며,
염증이 사라지는 것을 확인한 뒤
신경치료 마무리 후
치과 재료로 꼼꼼하게 메워드렸습니다.
정기적인 검진을 통해
잇몸뼈와 임플란트가
잘 결합되고 있는 것을 확인하였으며
충분한 시간이 지났을 때
최종 보철물 제작을 위한
과정을 하나씩 진행하였습니다.
양측 어금니 부위부터
지대주를 연결하여
임시치아 제작을 통해
무너진 교합 고경을 회복해 주는
작업을 진행하였으며,
아래턱 앞니 부위의
치조골 회복 상태가 양호한 것을 확인한 뒤
넣어 둔 티타늄 멤브레인을 제거하였는데요.
안정적으로 제거가 잘 된 것을
3D CT 촬영을 통해
확인하였으며,
잇몸이 회복되었을 때
최종 보철물 제작을 위한
인상채득을 진행하기로 하였습니다.
Shade guide를 활용하여
기존 위턱 앞니 보철물과의 색상에 맞춰
최종 보철 제작을 의뢰하였습니다.
최종 보철물은
자연치아와 강도가 유사하고
심미적인 지르코니아로
마무리해 드렸는데요.

1달 정도 보철물에 적응하는 과정을 거쳤으며,
불편감이 없으신 것을 확인하고
최종 세팅을 도와드렸습니다.
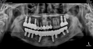
모든 치료가 마무리된
파노라마 사진과 구강 내 사진인데요.
환자분께서는
그동안 흔들리고 통증이 심한 치아로
불편감이 많으셨는데
치료 마무리 후에는
양측 저작이 편안하게 되고
심미적으로 변한 모습에 만족해하셨습니다.
처음 내원하셨을 때 보다
훨씬 자연스럽고 밝게 웃으시는 모습을 보니
저희 의료진 역시 뿌듯한 마음이었습니다.
전 > 후

이렇게 만성 치주염으로 인해 발치 후
임플란트 식립으로
무너진 교합 고경을 회복해 드린 사례를
소개해 드렸는데요.
임플란트 치료가 마무리되고 난 이후에
관리를 소홀하게 하게 된다면
임플란트 주위염이 생길 수 있는데요.

임플란트 주위염이란
말 그대로 임플란트를 둘러싼 잇몸과
잇몸뼈에 염증이 생긴 상태로
치주 질환에 의해 치아가 흔들리는 것처럼
임플란트도 관리가 소홀하게 되면
주변 조직에 세균이 침투하여
염증을 일으키게 되고
결국 뼈가 녹아
임플란트가 흔들리게 되거나
탈락하게 될 수도 있습니다.
때문에 평소 올바른 방법으로
양치질을 해주며,
치간칫솔이나 치실을 활용하여
치아 사이사이를 깨끗하게 관리해 주며,
특별한 증상이나 불편한 것이 없더라도
정기적으로 치과에 방문하시어 검진받으시고
스케일링을 받는 것이 좋습니다.
에이디중부치과에서는 양산전체임플란트 시
풍부한 경험과 전문성을 갖춘 대표원장님이
다양한 장비를 활용한 정밀한 진단을 통해
더욱 꼼꼼하고 체계적인 치료 계획 수립이 가능하며,
사후 관리 프로그램을 통해
보다 더 임플란트를 오랫동안
건강하게 사용하실 수 있도록
꼼꼼하게 체크하고 관리해 드리고 있습니다.
치아에 불편감이 생겼거나
임플란트를 염두에 두고 계신다면
환자분들이 안심하고 치료받을 수 있도록
평생 주치의로서
책임감을 갖고 진료에 임하는
에이디중부치과에 내원하시어
정밀한 검사와 양산전체임플란트 치료로
불편감 해소를 위해 도와드리겠습니다.
감사합니다.
* 해당 증례는 의료진의 시술 결과입니다.
