의식하진정법, 왜소치로 인한 콤플렉스를 크라운으로 심미성 회복

에이디중부치과에 내원하시는 환자분을 살펴보면
충치나 치주 질환뿐만 아니라
치아 형태 이상으로 인해
치료를 위해
내원하시는 분들도 많으신데요.
치아 형태 이상의 종류를 살펴보면
첫 번째, 크기 불균형으로 나타나는
왜소치와 거대치
왜소치는
정상적인 크기보다 작은 경우이며
반대로 거대치는
비정상적으로 큰 경우를 말하며
이러한 크기 이상으로 인해
심미적인 문제가 생길 수 있습니다.
두 번째, 치아가 붙어 있는
융합치와 유착치
융합치는
두 개 이상의 치아머리가 붙어있는 형태로
하나처럼 보이는 것으로
주로 유치에서 나타나며
이는 영구치 맹출에
영향을 미칠 수 있습니다.
유착치는 치아머리는 두 개이지만
뿌리 부분이 붙어 있는 것으로
겉으로는 잘 드러나지 않을 수 있습니다.
세 번째, 치내치와 치외치
치내치는 치아 안에 치아가
또 있는 것처럼 보이는 것으로
크기나 전체적인 모양은
정상인 경우가 많아
겉으로 잘 드러나지 않기 때문에
엑스레이 촬영을 통해
확인이 가능합니다.
치외치는 치아의 씹는 면인 교합면에
비정상적인 작은 돌기가
돌출되어 있는 것으로
이 돌기는 파절되기 쉬우며
파절 될 경우
신경이 노출될 가능성이 높기 때문에
신경치료가 필요할 수도 있습니다.
이러한 치아 형태 이상의 원인은
유전적인 요인, 발육 과정에서의 문제,
임신 중 약 복용, 외상, 영양 결핍,
감염 등으로 다양하며
이러한 요인들이
발달 과정에 영향을 미치게 되어
다양한 형태 이상을 초래할 수 있습니다.
오늘은 위턱 앞니의 크기가 작아
치료를 진행하시고자
에이디중부치과를 내원해 주신
환자분의 사례를 소개해 드리겠습니다.
환자분께서는
위턱 양측 두 번째 앞니(#12,22)가
다른 치아에 비해 크기가 작아
콤플렉스라며
심미성 회복을 위해
치료를 원한다고 말씀해 주셨는데요.
치료 기간 :
26년1월13일 부터 26년1월29일까지

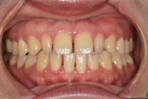
먼저 구강 내를
확인해 보았더니
위턱 양측 두 번째 앞니(#12,22)가
왜소치의 형태를 갖고 있었습니다.
왜소치란
자연치아의 크기가 정상보다 작은 경우로
주로 환자분과 같은 위치인
위턱 두 번째 앞니에 주로 나타나며
원뿔 모양이나 못 모양의
형태를 갖고 있는데요.
왜소치 자체는
기능에 큰 문제를 일으키지는 않지만
눈에 잘 띄는 앞니 부위이다 보니
심미적인 문제는
물론 다른 치아에 비해
크기가 작음으로써 생기는
치아 사이 공간 문제로
치료를 원하시는 분들이 많으신데요.
왜소치를 해결하기 위한 방법으로
진행할 수 있는 심미보철로는
레진을 이용한 직접 수복,
라미네이트, 크라운 수복이 있는데요.
처음에는 라미네이트 증례로 판단하였지만
의식하진정법 에이디중부치과에서는
환자분의 나이와 왜소치의 위치,
치열과 악궁 공간 상태 등
구강 환경을 종합적으로 고려한 결과
입술 쪽 방향(순측) 치아의
각도를 개선하기 위해서는
치아 전체를 씌우는
크라운 치료가 필요하다고 판단하였으며,
앞니의 벌어짐도 있었기 때문에
이를 모두 개선하기 위해
위턱 앞니 4개를 모두
지르코니아 보철물로 수복해 드리기로
치료 계획을 수립하였습니다.
보철물 수복을 위한
최소량의 치아 삭제 후
임시치아를 통해 크기와 모양을
체크하는 과정을 거쳤으며
이를 토대로 최종 보철물 제작을
도와드렸는데요.
심미성이 중요한 앞니 부위이기 때문에
환자분과 같이 치아 색상을
신중하게 확인하고 선택하였습니다.
최종 보철물은
자연치아와 강도가 유사하고
심미적인 지르코니아 보철물로
마무리해 드렸는데요.
환자분께서 색상과 모양,
크기 등 모두 마음에 들어 하셔서
바로 붙이기를 원하셨지만
자연광에서도 한번 체크해 보신 뒤
결정하는 것이 좋겠다며
오히려 저희가 말려서
일상생활에서 며칠 사용해
보시기로 하셨는데요.
며칠 뒤 내원하셔서는
너무 마음에 드신다며
완전히 붙이기를 희망하셔서
최종적으로 접착을 도와드렸습니다.

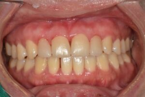
지르코니아 보철물 수복이 마무리된
구강 내 사진인데요.
왜소치가 개선되고
치아 벌어짐으로 인해
맞지 않았던 정중선이
맞춰진 것을 확인할 수 있습니다.
환자분께서는 크기 이상과
벌어짐으로 인해
심미성이 떨어져
그동안 콤플렉스가 많으셨는데
치료 후 심미성으로 변한 모습을 보시고는
만족해하셨으며
처음 내원하셨을 때 보다
웃는 모습이 자연스러워 지신 걸 보니
저희 의료진 역시 뿌듯하였습니다.
전 > 후

이렇게 보철 수복을 통해
왜소치를 개선해 드린
사례를 소개해 드렸는데요.
왜소치와 같은 치아 형태 이상은
심미적인 문제뿐만 아니라
음식물 저작을 어렵게 하고,
발음 장애를 유발할 수 있으며,
충치나 잇몸 질환의 위험을
높일 수 있기 때문에
가급적 조기에 발견하여
적절한 치료를 받는 것이 좋은데요.

때문에 평소 불편한 부분이 없더라도
정기적인 치과 검진을 통해
상태를 확인하는 것이 좋습니다.
의식하진정법 에이디중부치과에서는
다년간의 임상경험과
숙련도를 겸비하신 대표원장님께서
치아 형태 이상이 확인되면
단순히 치과적인 문제로만 생각하지 않고
전신 질환과의 연관성 등
여러 가지 방면으로 고려하여
정확한 진단을 통해
그에 맞는 적절한 치료를
도와드리고 있기 때문에
더욱더 믿고 내원하실 수 있으며
만족도 높은 치료 결과를
얻어 가실 수 있습니다.
치아 형태 이상은
누구에게나 발생할 수 있으며
이러한 문제는
콤플렉스로 작용할 수 있기에
혼자 끙끙 앓지 마시고
의식하진정법 에이디중부치과에
내원하시어
전문의와 상담을 통해
본인에게 맞는 방법으로
해결하시길 바랍니다.
감사합니다.