양산수면치과 안정적이고 편안한 발치를 도와드리는
사랑니는
어금니 중 가장 안쪽에 나는 치아로,
영구치 중 가장 마지막에 맹출 하기 때문에
제3대구치라고도 하며
보통 위·아래 좌우로 총 4개가 나지만,
개인에 따라 1~3개만 나거나
아예 없는 경우도 있는데요.

사랑니는 가장 늦게 나오기 때문에
턱 공간이 부족한 경우가 많아
이로 인해 옆으로 기울어져
일부만 잇몸 밖으로 나오거나,
잇몸뼈 속에 묻혀 육안으로 보이지 않는
매복 사랑니 형태로 존재하기도 하는데요.
이 경우에는
육안으로 정확한 확인이 어렵기 때문에
치과에 내원하시어
방사선 촬영을 통해서만
정확히 확인할 수 있습니다.
간혹 사랑니 꼭 뽑아야 하는 걸까요? 하고
궁금해하시는 환자분들이 계시는데요.

사랑니가 다른 치아들처럼 정상적으로
곧게 맹출 해서
위아래 교합에 문제가 없으며
칫솔질 등 구강 위생 관리가 잘 된다면
굳이 발치하지 않아도 되지만
반대로 칫솔질이 잘되지 않아
충치나 염증이 생기기 쉬운 경우나
옆 치아를 밀어
통증이나 치열 변형을 유발하는 경우,
잇몸 염증이 반복되는 경우에는
발치를 고려해 보는 것이
건강한 구강 환경을 유지하는데
도움이 되는데요.
결론적으로 사랑니는
맹출 상태에 따라 다르기 때문에
양산수면치과 에이디중부치과에서
정기적인 구강 검진을 통해
의료진과 상담 후
발치 여부를 결정하는 것이 가장 좋습니다.
오늘은 사랑니의 불편감으로 인해
양산수면치과에
내원해 주신 환자분의 사례를
소개해 드리겠습니다.
오늘 소개해 드릴 환자분께서는
20대 남자분으로
아래턱 왼쪽 사랑니의 통증으로 인해
본원을 내원해 주셨는데요.
먼저 구강 내를 확인해 보았더니
불편감을 호소하셨던
아래턱 왼쪽 사랑니가
치아머리의 일부만
잇몸을 뚫고 나와 있는 상태로
주변 잇몸이 부어있었으며,
위턱 왼쪽에도 사랑니가 있는 것을
확인할 수 있었는데요.

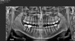
정밀한 검사를 위해
파노라마 사진을 촬영해 보았더니
아래턱 왼쪽 사랑니(#38)는
완전 매복 상태로
잇몸뼈 속에 묻혀
바로 앞의 두 번째 큰 어금니(#37)의
뿌리를 자극하고 있었습니다.
위턱 왼쪽 사랑니(#28)는
정상적으로 맹출은 하였지만
안쪽에 위치해 있다 보니
위생관리가 잘되지 않고 있었는데요.
사랑니를 방치하게 된다면
아래턱 사랑니의 경우
바로 앞의 두 번째 큰 어금니(#37)에도
영향을 끼칠 수 있으며,
왼쪽 위턱 사랑니 역시
구강 관리가 되지 않고 있어
충치와 잇몸 질환의 위험도 큰 상태로
건강한 구강 환경을 위해
왼쪽 위아래 사랑니 모두
발치를 진행하기로
치료 계획을 수립하였습니다.
아래턱 왼쪽 사랑니(#38)의 경우
아래턱 하방으로 지나가는
하치조 신경과 사랑니 뿌리 끝이
근접해 있었는데요.

발치 시 신경을 건드리게 되면
감각 이상 등
부작용이 일어날 수 있기 때문에
양산수면치과 중부에이디치과에서는
파노라마 사진과 3D CT 촬영을 통해
사랑니의 위치와 방향,
하치조 신경관의 위치 등
육안으로 판단이 어려운
해부학적인 구조물까지 면밀하게 파악 후
대표 원장님께서 다양한 임상경험을 바탕으로
편안하고 안정적으로
왼쪽 위 위아래 사랑니 발치를
도와드렸습니다.

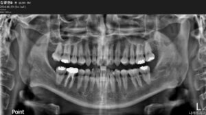
깔끔하게 발치가 마무리된
파노라마 사진입니다.
환자분께서는 발치 후
3일 정도 욱신거리는 통증이 있었지만,
약 일주일이 지나면서
불편감이 거의 사라졌다고
말씀해 주셨습니다.
전 > 후

이렇게 사랑니 발치를 도와드린
사레를 소개해 드렸는데요.
양산수면치과 발치 후에는
사후 관리가 매우 중요합니다.
발치 직후 거즈는
약 2시간 정도 꽉 물어 압박해 주며,
침과 피는 뱉지 말고 삼키는 것이 좋습니다.
식사는 마취가 완전히 풀린 뒤에 해주시고,
부드러운 음식 위주로
발치 반대쪽으로 드시는 것이 좋습니다.
통증이나 붓기가 있다면
얼음찜질이 도움이 되며,
처방받은 약은 증상이 없더라도
감염 예방을 위해 꼭 복용해 주세요.
마지막으로 술과 담배는
발치 부위에 염증을 유발할 수 있으므로
최소 1주일간 금주·금연을 권장 드립니다.
발치 부위 관리가 제대로 되지 않으면
세균 감염으로 인해
심한 통증, 지속적인 출혈,
붓기, 고름 등이 나타날 수 있는데요.
만약 이러한 증상이 발생하면
지체하지 말고
양산수면치과에
내원하시는 것이 좋습니다.
사랑니 발치는 수술만큼이나
이후 관리가 회복을 좌우하기 때문에
양산수면치과 에이디중부치과에서
안내해 드린 주의 사항을 잘 지켜
건강하게 회복하시길 바랍니다.

사랑니는 위치와 형태에 따라
난이도가 달라지기 때문에
양산수면치과 에이디중부치과에서는
사랑니 발치에 대한 임상경험이 풍부하고
숙련된 노하우를 겸비하신 대표원장님께서
개개인의 치아 상태와 매복 정도를
정확히 진단한 후,
안전하고 편안한 발치 계획을
세워드리고 있습니다.
사랑니로 인한 통증이나 불편감으로
발치를 고려하고 계신다면
에이디중부치과에 내원하시어
충분한 상담과 꼼꼼한 검진을 통해
맞춤 진료를 받아보시길 바랍니다.
감사합니다.
* 해당 증례는 의료진의 시술 결과입니다.
