양산수면치과 편안하고 안정적인 식립을 도와드리는
치아를 상실하면
단순히 그 자리에 치아가 없는 것뿐만 아니라,
주변 치아와 구강 전체에
여러 변화를 유발할 수 있는데요.
상실된 치아 양옆의
치아는 빈 공간으로 기울어지거나
쓰러질 수 있으며,
맞물리는 치아가 없으면
아래로 내려오거나
위로 솟아 치아 배열이 바뀌게 되어
이로 인해 교합 불균형이 생기고
씹는 기능이 저하되어,
장기적으로는 턱관절 문제나
소화 기능 장애로도 이어질 수 있습니다.
또한 치아가 빠진 자리의
잇몸뼈가 흡수되면서
잇몸 모양이 변형되고 볼륨이 감소하여,
추후 보철물 수복 시
보강이 필요할 수 있으며,
치아 상실은 발음과 미관에도 영향을 주어
자신감 저하로 이어지기도 합니다.
때문에 치아를 상실하였다면
가능한 한 빠른 시일 내에
양산수면치과 에이디중부치과에
내원하시어
적절한 보철 치료를 통해
빈 공간을 보완하는 것이
장기적인 구강 건강과 기능 유지에 중요합니다.
오늘은 임플란트 상담을 위해
에이디중부치과를 내원해 주신
환자분의 사례를 소개해 드리겠습니다.
환자분께서는
아래턱 양측 어금니의 상실로
임플란트 치료를 원하신다고
말씀해 주셨습니다.

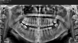
정밀한 검사를 위해
파노라마 사진을 촬영해 보았는데요.
아래턱 왼쪽 두 번째 큰 어금니(#37)와
오른쪽 첫 번째 큰 어금니(#46)가
상실된 상태였으며,
위턱 왼쪽 두 번째 큰 어금니(#27)도
상실되어 있었는데요.
다행히 상실된 부위의 양측 치아가
빈 공간으로 많이 기울어졌거나
맞물리는 치아가
내려와 있지 않은 상태였기 때문에
충분히 임플란트를 식립 할 공간이
있는 상황이었습니다.
상실된 부위는 총 3 부위이지만
전체적인 교합 관계와
환자분의 경제적인 상황을 고려하여
아래턱 양측 어금니 부위에만
수복 치료를 진행하여도
충분히 양측 저작이
원활하게 이루어질 것으로 판단되어
아래턱에만 임플란트 식립을
도와드리기로 하였습니다.

또한 위턱 왼쪽과 아래턱 양측에
사랑니가 모두 있었는데요.
사랑니 모두 정상 치아와 같이
바르게 맹출 하였지만
구강 위생관리가 잘되지 않고 있는 상태로
건강한 구강 환경을 위해
발치하기로 치료 계획을 수립하였습니다.
임플란트를 식립하기 전
파노라마 사진과 3D CT 촬영을 통해
잔존 치조골의 양과 두께,
아래턱 하방으로 지나가는
하치조 신경과의 거리,
눈에 보이지 않는 해부학적 구조물 등을
면밀하게 파악하는 과정을 거쳤으며,
이러한 결과를 토대로
임플란트 식립을 도와드렸는데요.
사랑니 발치와 동시에
아래턱 양측 어금니 부위에
임플란트 식립도 같이 도와드렸습니다.
추후 보철물 수복을 고려한
정확한 위치에 임플란트가 식립 된 것을
확인하였으며,
임플란트와 잇몸뼈가
단단히 결합되기를
충분히 기다리기로 하였습니다.
식립 후 6개월 정도 지났을 때
임플란트가 안정적인 것을
수치로 확인한 뒤
최종 보철물 제작을 위한
인상채득을 진행하였는데요.

최종 보철물은
자연치아와 강도가 유사하고
심미적인 지르코니아로
마무리해 드렸습니다.

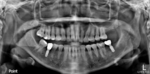
모든 치료가 마무리된
파노라마 사진인데요.
환자분께서는 어금니 하나 정도
상실한 것 정도야 하고 방치하시다가
이번 치료를 통해
양측 저작이
훨씬 편안해지신 것을 확인하시고는
치아의 소중함을 몸소 느끼셨다며
앞으로 관리를 더 잘해주시겠다고
약속해 주셨습니다.
전 > 후

이렇게 사랑니 발치와 동시에
임플란트 식립을 도와드린
사례를 소개해 드렸는데요.
임플란트 식립 후에는
출혈과 붓기, 통증 관리를 위해
얼음찜질을 해주고,
처방 해 드린 약은 잘 챙겨드셔야 하며
식사 시 부드러운 음식 위주로 드시되
너무 뜨겁거나 자극적인 음식은
피해 주는 것이 좋습니다.
양치 시 식립 부위에
칫솔이 닿지 않도록 하여
주변 치아에만 양치를 해주시며,
식립 부위에는 가글을 이용하여
주변을 깨끗하게 소독하고
관리해 주는 것이 좋습니다.
보철물이 올라간 후에는
임플란트 주변에 플라그가 쌓이지 않도록
꼼꼼하게 양치질해주시며,
이때 치실이나 치간칫솔을 활용하여
임플란트와 치아 사이를
깨끗하게 관리해 주는 것이 좋습니다.
또한 너무 딱딱하거나 질긴 음식은
임플란트 보철물에 자극을 줄 수 있기 때문에
가급적 피해 주는 것이 좋습니다.
마지막으로 불편한 곳이 없더라도
정기적인 치과 검진을 통해
임플란트 주변 뼈와
보철물 상태를 점검해 주는 것이 좋습니다.

임플란트는 주변 잇몸과 뼈가 건강해야
보다 오래 유지될 수 있기 때문에,
초기 회복 관리, 올바른 구강 위생,
정기 검진 모두 임플란트 성공과 직결됩니다.
따라서 양산수면치과 에이디중부치과에서
안내드린 주의 사항들을
잘 지켜주시는 것이 중요합니다.

양산수면치과 에이디중부치과에서는
풍부한 임상 경험과 숙련도를 갖춘 원장님께서
개개인의 구강 상태에 맞춘
안전하고 정확한 임플란트 치료를
제공하고 있으므로
언제든 안심하고 내원하실 수 있습니다.
치아 상실로 고민하고 계신다면,
양산수면치과 에이디중부치과에
내원하시어
건강하고 자연스러운 미소를
되찾으실 수 있도록
도와드리겠습니다.
편안하게 내원하셔서
상담받아보시길 바랍니다.
감사합니다.
* 해당 증례는 의료진의 시술 결과입니다.
