양산전체임플란트 치아의 기능과 심미성 회복을 도와드리는
다수 치아를 상실하였을 경우
치아의 기능과 심미성을 회복하기 위해
임플란트 치료와 틀니 치료 사이에서
많이 고민하게 됩니다.

틀니는 수술에 부담이 없으며,
임플란트에 비해 비용이 저렴하고
치료 기간이 짧다는 장점이 있으며,
골 상태가 좋지 않아
임플란트 수술이 어려운 경우나
고령 환자 또는 전신질환 환자분에게도
적용이 가능하다는 장점이 있는데요.
하지만 저작력이 자연치아의
약 20-30% 정도 수준으로 감소하며,
처음에는 잘 맞던 틀니가 장기간 사용 시
치조골 흡수로 인해
유지력이 떨어지면서
대화를 하거나 식사 시
구강 내에서 움직이거나,
이물감, 발음 문제, 잇몸 통증 등
여러 가지 불편감이 생길 수 있습니다.

반면에 임플란트는
Fixture라는 고정체를
잇몸뼈에 식립하기 때문에
자연치아와 유사한 저작력을
회복할 수 있으며,
치조골 흡수를 억제하는 효과가 있고
심미성이 뛰어나
관리만 잘해준다면
반영구적으로 사용할 수 있기 때문에
장기적으로 봤을 때는
경제적인 치료 중 하나이지만
수술이 필요하며,
틀니에 비해 비용이 상대적으로 높고
치료 기간이 길며,
뼈 상태에 따라
뼈이식이 필요할 수도 있으며,
전신질환 환자의 경우
임플란트 치료가 불가능할 수도 있다는
단점이 있는데요.
틀니와 임플란트 모두
장단점이 존재하기 때문에
다수의 치아를 상실하였을 경우에는
의료진과 정밀한 검사를 통해
환자의 구강 내 상황에 맞는
치료 방법을 선택하여
진행하는 것이 중요합니다.
오늘은 다수의 치아 상실로
양산전체임플란트를 위해 치과에 내원해 주신
환자분의 사례를 소개해 드리겠습니다.
오늘 소개해 드릴 환자분께서는
50대 남성분으로
치아 상실과 구강 내 불편감으로
치료를 위해 내원해 주셨는데요.
먼저 구강 내를
확인해 보았더니
위턱에 다수 치아의 상실과
잔존 치아들은 치주 질환으로 인해
동요도가 심한 상태였으며,
아래턱 오른쪽 첫 번째 큰 어금니(#46)는
뿌리만 남아 있는 상태였는데요.

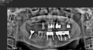
정밀한 검사를 위해
파노라마 사진을 촬영해 보았더니
위턱 잔존 치아들 주변으로
잇몸뼈 흡수가 심하고
염증이 있는 상태로
예후가 좋지 않아
발치가 불가피한 상황이었으며,
아래턱 오른쪽 뿌리만 남은 치아 역시
발치가 불가피하였는데요.
양산전체임플란트 에이디중부치과에서는
환자분과 정밀한 상담을 통해
위턱의 잔존 치아들과
아래턱 오른쪽에 뿌리만 남은 치아를
발치하기로 하였으며,
임플란트 치료로 치아의 기능을
회복해 드리기로
치료 계획을 수립하였습니다.

위턱 치아를 모두 발치하고 나면
치료가 마무리되기 전까지
일생생활에서 여러 가지 불편감이
생길 수 있기 때문에
기능적, 심미적 불편감을 덜어드리기 위해
임시틀니를 제작하여
사용하실 수 있도록
도와드리기로 하였습니다.
먼저 불필요한 치아들은
모두 발치 후
주변 염증 조직을 깨끗하게 제거하고
소독하였으며,
양산전체임플란트 식립을 위해
파노라마 사진과 3D CT 촬영을 통해
잔존 치조골의 양과 두께,
위턱의 경우 잔존 치조골과
상악동 막과의 거리,
아래턱 하방으로 지나가는
하치조 신경의 위치,
눈에 보이지 않는 해부학적 구조물 등
을 면밀하게 확인하는 과정을 거친 뒤
치아를 상실한 개수만큼
다 식립하는 것이 아니라
임플란트가 안정적으로
식립 될 부위를 선정하여
식립을 도와드리기로 하였습니다.

정밀한 검사와 시뮬레이션을 통해
임플란트가 식립 될 위치를 선정하고,
식립 될 Fixture의 굵기와 길이,
식립 방향 등을 미리 파악한 뒤
구강 내에서 식립을 도와드렸는데요.
이러한 철저한 사전검사 덕분에
구강 내에서 더욱 빠르게
양산전체임플란트가
식립이 가능합니다.
식립 후 임플란트와 잇몸뼈가
단단히 결합되기를 기다리는 동안
미리 제작해 둔 임시틀니를
사용하실 수 있도록 조정해 드렸으며,
충분한 시간이 지났을 때
임플란트가 안정적으로
고정된 것을 확인한 뒤
최종 보철물 제작을 위한
인상채득을 진행하였습니다.
최종 보철물은
자연치아와 강도가 유사하고
심미적인 지르코니아로
마무리해 드렸습니다.

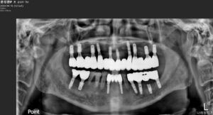
모든 치료가 마무리된
파노라마 사진과
구강 내 사진인데요.
환자분께서는
치료 전에는 식사가 힘드시다 보니
소화도 잘되지 않아 불편감이 많으셨는데,
치료 후에는 양측 저작이 편안하게 잘 되고
심미성도 높아져
대화를 하거나 웃을 때
입을 가리지 않아도 되어 만족해하셨습니다.
처음 내원하셨을 때 보다
자연스럽고 밝게 웃으시는 모습을 보니
저희 의료진 역시 뿌듯한 마음이었습니다.
전 > 후

이렇게 발치 후
임플란트 식립을 도와드린 사례를
소개해 드렸는데요.
임플란트는 상실된 자연치아를
대체할 수 있는 좋은 치료 방법이지만
치료가 끝났다고 해서
관리가 끝나는 것은 아닙니다.
자연치아와 마찬가지로
꾸준한 관리가 이루어지지 않으면
임플란트 주위염과 같은
문제가 발생할 수 있기 때문에
치료 이후의 관리가 매우 중요한데요.
양산전체임플란트를
오래 건강하게 사용하기 위해서는
에이디중부치과에서 알려드리는
주의 사항을 지켜주는 것이 좋습니다.
첫째,
올바른 칫솔질과 치간칫솔,
치실 등을 이용한
꼼꼼한 구강 위생 관리가 필요합니다.
둘째,
너무 딱딱하거나 질긴 음식은
임플란트 보철물에
과도한 힘을 줄 수 있기 때문에
주의하는 것이 좋습니다.
셋째,
임플란트 주변 상태를 확인하고
스케일링 및 유지 관리를 위해
정기적인 치과 검진을 받는 것이 중요합니다.
이러한 관리가 잘 이루어진다면
양산전체임플란트는
오랫동안 안정적으로 사용할 수 있답니다.

양산전체임플란트 에이디중부치과에서는
다년간의 임상 경험과 숙련도를 갖춘
대표원장님께서
치료 전 환자분의 구강 상태를
정확하게 진단하고,
가장 적합한 치료 계획을 수립하여
안전하고 체계적인 임플란트 치료를
진행하고 있습니다.
또한 임플란트 치료의 성공은
수술로 끝나는 것이 아니라,
환자분과 저희 의료진이 함께하는
지속적인 관리에서 완성되기 때문에
저희 치과만의
체계적인 사후관리 프로그램을 통해
임플란트 치료 후에도
장기적으로 안정적이고 건강한 구강 상태를
유지할 수 있도록 최선을 다하겠습니다.
감사합니다.
* 모든 증례 사진은 의료법 제23조,
제56조에 의거하여,
당사자의 동의하에 게시하였습니다.
* 치료 사진은 모두 본원에서 치료한
환자분의 사진입니다.
* 치료 사진은 모두 동일인의 사진이며,
동일 조건에서 촬영하였습니다.
* 개인의 차이에 따라
시술 및 수술 후 부작용이 발생할 수 있으며,
의료진과 충분한 상담을 받으시기 바랍니다.
